
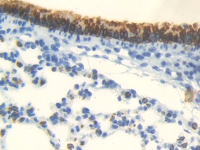
Figure.DAB staining on IHC-P.
Sample: Mouse Lung Tissue;
Primary Ab: 20µg/ml Rabbit Anti-Mouse AR Antibody
Second Ab: 2µg/mL HRP-Linked Caprine Anti-Rabbit IgG Polyclonal Antibody(Catalog: SAA544Rb19)

Figure.DAB staining on IHC-P.
Samples: Mouse Lung Tissue

Figure. Western Blot.
Sample: Immunogen-Recombinant AR, Mouse.